Alzheimer’s disease is the best-known and most common type of dementia. The second most common form is called vascular dementia. Whereas Alzheimer’s is principally marked by the presence of amyloid plaques and neurofibrillary tau tangles in the brain, the driving force behind vascular dementia is damage to the brain’s blood vessels and nerve fibers. There is considerable overlap in symptoms between vascular dementia and other forms of dementia, and it’s possible to have more than one type of dementia at a time, a condition known as “mixed dementia.” In fact, vascular dementia is so often mixed with other forms that fewer than 10% of dementia cases are considered pure vascular dementia.
The Biology of Vascular Dementia
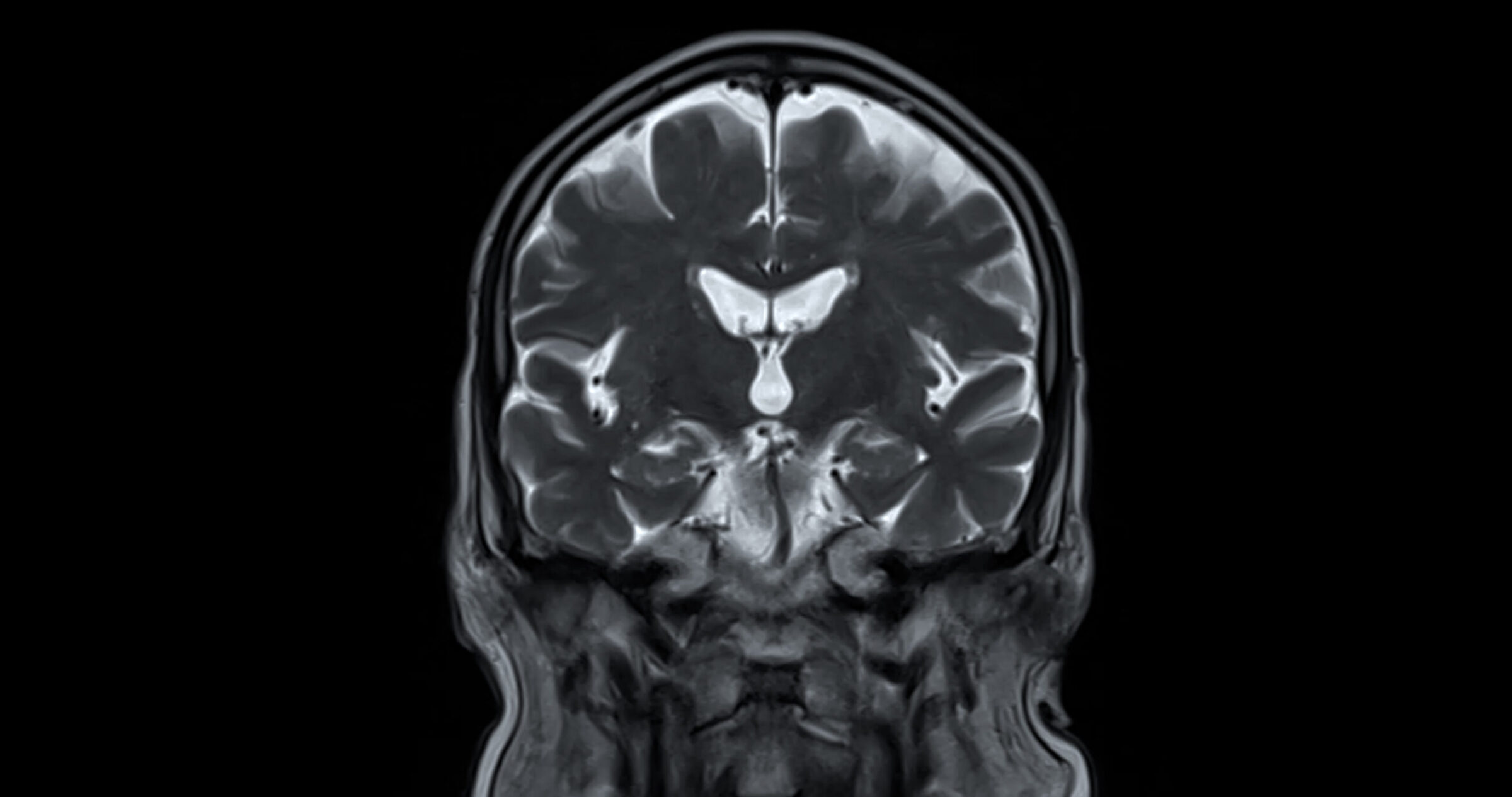
Every case of vascular dementia involves some kind of changes to the blood vessels in the brain. When the brains of people with vascular dementia are studied via MRI, clinicians can sometimes see the traces left by strokes (including mini-strokes) that the person may have had. Often, the small blood vessels of the brain are damaged and the white matter has become diseased.
Such damage may accrue from a variety of processes. A whole area of research, called “vascular contributions to cognitive impairment and dementia,” or VCID, exists in which investigators attempt to map out the connections between cardiovascular and other physiological events and changes to the brain that result in a loss of cognitive ability. For example, researchers are studying the effects of restricted blood flow to the brain, of brain hemorrhages, and of infarcts (events in which brain tissue dies for lack of oxygen).
To use the simplest example, a person’s cardiovascular disease could cause an obstruction to small blood vessels in one area of the brain, depriving it of oxygen and nutrients. That brain area could suffer damage including cell and tissue death, resulting in a loss of cognitive function. However, while major strokes often result in vascular dementia, a major stroke is not necessary for vascular dementia to develop. Often, people are unaware that they have experienced a series of mini-strokes (called transient ischemic attacks, or TIAs) that gnaw away at their cognition. But strokes are not the only cause of vascular dementia. It can also be the result of a pathological narrowing of blood vessels inside the brain. When this is the cause, it’s referred to as “subcortical vascular dementia” or “small vessel disease.”
Vascular Dementia Symptoms
The impacts of vascular dementia on cognition can vary from mild to severe, and their onset may be sudden or gradual. But no matter the nature of their onset, they will worsen over time. People with vascular dementia may experience any or all of the following symptoms:
- Dysregulated emotions. People may laugh or cry uncontrollably or inappropriately.
- Problems with sleep. Insomnia, restlessness, nightmares, and changes to sleeping and waking times may occur.
- Decreased judgment and decision-making. The person with vascular dementia may begin to act in ways that show an inability to assess risk properly, such as dangerous driving maneuvers or unsafe kitchen behaviors.
- Social challenges. People may miss social cues, commit verbal faux pas, or decline invitations to social events to avoid embarrassment.
- Personality changes. People with vascular dementia often take on traits that were once foreign to them. Formerly mild-mannered people might become demanding or prone to lewd humor. Formerly cheerful people might become easily agitated, chronically grumpy, or depressed.
- Hallucinations. Some people see or hear things or persons that aren’t there. This can be disturbing both for them and for their caregivers.
- Disorientation. People who once had a solid sense of direction may now have difficulty navigating around their own neighborhood or workplace.
- Language deficits. It often becomes difficult to think of what should be easy words, and people with vascular dementia sometimes use an inappropriate word for the idea they’re attempting to communicate.
- Apathy. People who were once engaged in the world begin to lose interest in the things that used to bring them joy and meaning.
- Learning issues. No matter how bright the person used to be, they may start finding it hard to take in new information and learn how to perform new tasks.
- Memory problems. The classic dementia symptom, this entails forgetting how to perform once-simple tasks, frequently misplacing items, and not remembering events from the recent or distant past.
Many clinicians view the progress of the disease through the framework of seven vascular dementia stages, which may vary in duration:
- Normal Memory (no impairment despite undetected changes in the brain)
- Normal Forgetfulness (minimal impairment, noticed primarily by the person him or herself )
- Mild Cognitive Impairment (“early confusional”; increased forgetfulness)
- Moderate Cognitive Impairment (“late confusional;” this is often when diagnosis occurs)
- Severe Cognitive Decline (moderate dementia, requiring supervision for daily tasks)
- Moderately Severe Dementia (major loss of independence, pronounced memory loss, possible hallucinations)
- Late Severe Dementia (many people are bedridden and most need 24-hour care)
If the vascular dementia is brought on by a stroke, then that person may also experience the following symptoms soon after the event:
- Headache
- Confusion and disorientation
- Slurred or hesitant speech
- Lack of understanding about what others are saying
- Trouble with balance and walking
- Numbness on one side of the body
Risk Factors for Vascular Dementia
Because vascular dementia is so closely associated with the health of the circulatory system, the risk factors for it are similar to those for cardiovascular disease, heart attack, and stroke. You can lower your risk for vascular dementia by following a healthy eating pattern such as the Mediterranean or MIND diets, exercising between 2.5 and 5 hours per week, abstaining from smoking, drinking very little or no alcohol, managing cholesterol and blood sugar, and maintaining a healthy body weight.
Unlike with Alzheimer’s disease, genetics does not play a very direct role in vascular dementia. What is likely to be inherited is not the dementia per se, but a tendency toward high cholesterol, obesity, and other underlying conditions that increase vascular dementia risk.
Vascular Dementia Treatment
There is no cure for vascular dementia. Instead, physicians try to slow its progress. To date, no medications have been approved to treat vascular dementia specifically. Instead, treatment usually takes the following forms:
- Alzheimer’s medications. These may be inherently effective for people with vascular dementia, or they may work because vascular dementia is so often mixed with Alzheimer’s. Note that these drugs slow cognitive decline rather than reversing or curing it.
- Treatment of underlying disease. Because vascular dementia is often driven by things like high cholesterol, diabetes, and high blood pressure, getting those conditions under control can slow the progression of the dementia.
- Rehabilitation. Especially after a major stroke, a person may recover some function through therapy, thanks to the ability of the brain to rebuild tissue and form new connections.
- Lifestyle changes. It’s never too late to adopt changes to your eating, sleeping, and exercise routines. This can slow disease progress and improve outcomes.
